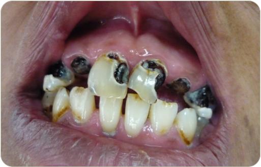
En este mes tenemos un caso clínico, mujer de 43 años sin enfermedad sistemica, esperamos tu participacion al correo patobu1@hotmail.com o
patobu1@servidor.unam.mx
Especialistas en Medicina y Patología Bucal 2010
2
3
4
1
Denver
cheap jerseys
Broncos Tire Tatz,Dallas Cowboys Lil Fan Messenger Diaper Bag