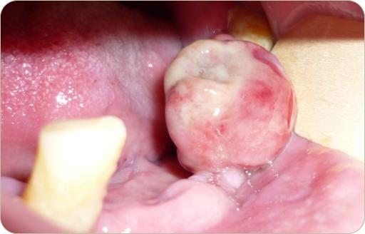
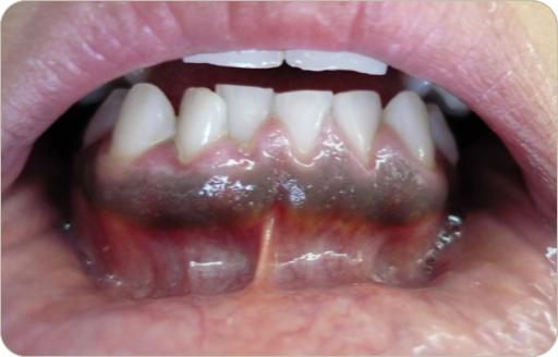
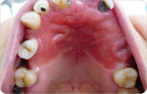
En este mes tenemos tres casos, dos son clínicos y uno es radiográfico, esperamos tu participacion al correo patobu1@hotmail.com o
patobu1@servidor.unam.mx
Especialistas en Medicina y Patología Bucal 2010
2
3
4
1